Фотография стоматолога из Москвы

Надент — Универсальная стоматология Натальи Хворостиновой в Москве

Рекомендация


Студентам

Вы можете использовать данную статью как часть или основу своего реферата или даже дипломной работы или своего сайта

Просто перейдите по ссылке ниже, редактируйте статью, все картинки тоже доступны, все бесплатно


Редактировать статью?!

Скачать статью в формате PDF


Сохраните результат в MS Word Docx или PDF, делитесь с друзьями, спасибо :)


Категории статей

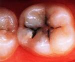
Кариес зубов и его последствия

Кариес зубов – довольно распространённое заболевание, при котором поражаются твёрдые ткани зуба. Кариес поражает не только зубы, но и приводит к ослаблению организма. В свою очередь при общих заболеваниях поражение зубов встречается значительно чаще.

1. Что такое кариес и почему он возникает?

Кариес зубов – довольно распространённое заболевание, при котором поражаются твёрдые ткани зуба. Известно, что неполноценное питание матери в период беременности и кормления, неправильное вскармливание, длительные и частые заболевания ребёнка, недостаток витаминов, минеральных веществ и микроэлементов в продуктах питания и питьевой воде создают неблагоприятные условия, которые отрицательно влияют на развитие и минерализацию зубов и приводят к заболеванию их кариесом.Кариес поражает не только зубы, но и приводит к ослаблению организма. В свою очередь при общих заболеваниях поражение зубов встречается значительно чаще.

Определённое значение придают местным факторам: влиянию слюны и продуктов жизнедеятельности микробов, населяющих полость рта. Учёные также считают, что от чрезмерного употребления сладостей у детей быстро портятся зубы. При этом имеет значение рациональный уход за полостью рта. После сладкого надо обязательно хорошо прополоскать рот, а ещё лучше – почистить зубы.

2. Как развивается кариес?

Вначале поражается поверхность эмали зуба, появляется меловое пятно. Этот процесс протекает без боли, и, как правило, его не замечают. В этой стадии заболевание ещё можно остановить, если изменить режим питания, употреблять продукты, богатые витаминами и содержащие соли фосфора и кальция (творог, рыба, горох и др.), применять готовые препараты фосфора и кальция. В этот же период необходимо также местное лечение зубов – втирание специальных зубных паст, включающих фтор, фосфаты, кальций.Если заболевание зуба развивается, то под влиянием микробов ткани зуба начинают разрушаться и в коронке образуется дефект – полость. При этом могут появиться болевые ощущения: реакции на холодную, сладкую, солёную пищу и питьё. На этой стадии заболевания только пломбирование может спасти его от дальнейшего разрушения. Чем раньше оно будет сделано, тем лучше будут результаты лечения зубов. 

3. Как предупредить развитие кариеса зубов?

Предупреждение кариеса зубов – это основная проблема стоматологов всего мира.Её решение связано с установлением основных причин развития кариеса, а они оцениваются учёными по-разному. Однако все стоматологи сходятся в том, что есть неблагоприятные факторы, безусловно способствующие развитию кариеса зубов, и прежде всего у детей:

  • Неудовлетворительный уход за зубами;
  • Дефицит поступления в организм кальция, фосфора, фтора и других микроэлементов;
  • Избыточное потребление сахарозы и сладостей;Поэтому в настоящее время разработаны общие и местные методы профилактики кариеса зубов.

К общим методам относятся фторирование питьевой воды, молока, поваренной соли, приём фтористых таблеток не менее 300 дней в году. Такая профилактика даёт достаточно хорошие результаты у детей и подростков до 15-16 лет, т.е. в период «созревания» (минерализации) эмали зубов. Но необходим обязательный контроль приёма фтора со стороны стоматологов.

Местные методы профилактики кариеса зубов заключается в рациональном и регулярном уходе за зубами, применении фторсодержащих и фосфатсодержащих зубных паст, аппликаций и полосканий специальными эликсирами и ополаскивателями, различных фторсодержащих лаков и других препаратов.Более 20 лет за рубежом и примерно 15 лет в нашей стране для профилактики кариеса жевательных зубов используют специальные препараты – фиссурные герметики. Узкое пространство между буграми жевательных зубов плохо очищается от зубного налёта, поэтому кариес боковых зубов встречается чаще, чем передних. Процедура герметизации фиссур позволяет предупредить развитие кариеса на 4-5 лет.Герметизацию фиссур проводит врач при определённых условиях:- нельзя проводить герметизацию фиссур при наличии кариеса в зубе;- невозможно проводить герметизацию при отсутствии фиссур;- желательно проводить герметизацию фиссур через 6-12 месяцев после прорезывания зуба, но если зубы не поражены кариесом, то это можно делать и в более поздние сроки.

Источник: www.medlinks.ru

Интересные статьи: